close
今天來分享我的矯正過程吧!
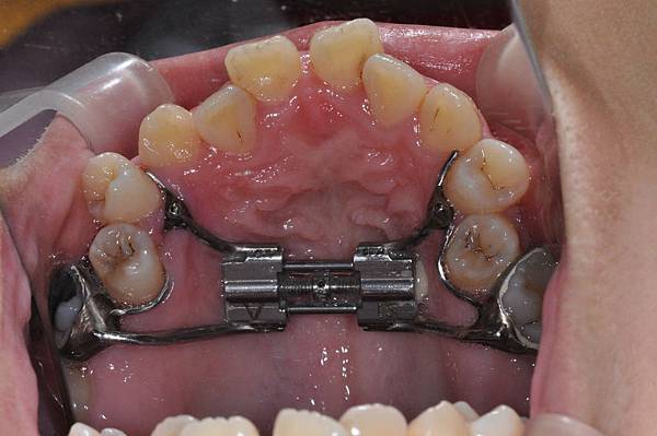
因為上顎牙弓比較小
(沒看過原本我的樣子可以看這裡
所以我的矯正醫生(也是我的老闆娘哈)決定幫我裝上顎撐開器~
想說撐開看看能不能少開一刀
但是她也說我現在有點老(也才20而已……嗚)
骨頭比較硬不確定效果不過她還是幫我裝了!
噹啷!
用法就是每天轉兩圈
看看能不把骨頭撐開一點~~~
初期真的不太適應講話會怪怪的
吃東西也有點無力!
不過後期就很適應還吃核桃蛋糕哈哈哈哈哈
全文已搬家至
(點圖片就可以到達)
(新網站需要您的支持! 如果喜歡文章請不要吝嗇給臉書粉絲頁按個讚
)
您的支持是我努力的動力!!!
![]()
文章標籤
全站熱搜

留言列表